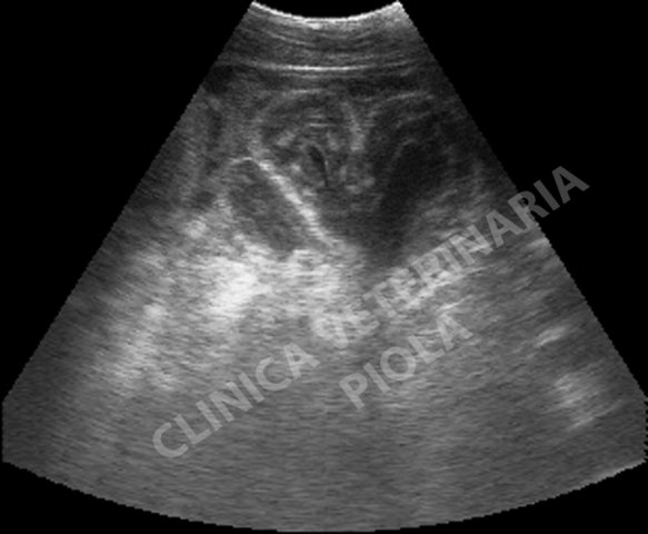
cieco edematoso per torsione
 
Interrompi presentazione
Avvia Presentazione
Aggiorna

I cookie ci aiutano a fornire i nostri servizi. Utilizzando tali servizi, accetti l'utilizzo dei cookie da questo sito.